터너 증후군이 뭐예요?괜찮아요?
안녕하세요.저는저음통증의학과원장이상준입니다.
오늘은 드물지만, 성염색체 질환 중 하나인 터너 증후군에 대해 알아 보려고 합니다.
이 병은 사실 완치되는 병이 아닙니다, 하지만 사춘기 전에 빨리 진단하고 조기에 치료하면 증상을 줄이고 더 삶의 질을 높일 수 있습니다.
Turner syndrome 이란 ?

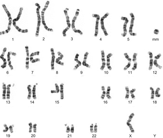
정자와 난자가 수정되는 과정에서 부모로부터 성염색체를 받게 되는데, 각각 X염색체를 하나씩 받아서 XX의 한 쌍의 염색체가 형성되면 여성,
아버지한테 Y염색체, 어머니한테 X염색체를 받으면 남자가 되죠.
그런데 만약 부모로부터 물려받은 X염색체가 잘못 만들어진 정자나 난자에서 하나를 받지 못하거나, 물려받은 X염색체에 문제가 생기면 발생하는 병입니다.
염색체 이상에 따라 다양한 증상이 나타납니다.
증상은? 염색체의 이상상태에 따라 다양한 증상이 나타나는데 대부분 외관에 문제가 없는 경우도 나타날 수 있습니다.
성장함에 따라 여러가지 증상이 나타납니다.
- 유아기 증상

유아기에는 특징적인 외모가 나타날 수 있는데, 이를 보고 의심하게 됩니다.
넓거나 물갈퀴 같은 목 모양(ㄴ) 약간 낮은 높이의 귀) (가슴이 넓어 유두 간격이 멈춤) 출생 시 평균 키보다 조금 작음) 성장이 느린(ㅂ) 손가락과 발가락이 짧음
ㅅ) 심장질환이 병발하고 있을 가능성도 있습니다.
2. 청소년기 증상

(성장이 예상키보다 늦음)사춘기의 예상되는 성적발달을 볼 수 없음)생리주기의 조기종료(ㄹ)대부분의 경우 아이를 임신하기 어렵다
이러한 증상은 때로는 현저하게 나타나지 않을 수 있기 때문에 터너 증후군이 의심되는 경우에는 유전자 검사를 실시해야 합니다.
그 외에도 다양한 건강 문제도 있을 수 있기 때문에 종합적으로 큰 문제가 없는지 조사할 필요가 있습니다.
치료는?

주사 치료의 예
상당수의 환자들이 신체적, 성적발달이 늦어지고 있기 때문에 이에 맞춰 치료를 하고 있습니다.
일반적으로 성장 호르몬이나 여성 호르몬을 투여함으로써 발달에 도움을 줍니다.
정기적으로 검진을 통해 다른 건강문제들을 살펴보고 발달시켜 삶의 질을 크게 바꿀 수 있기 때문에 반드시 적극적으로 치료해야 합니다.
만약 터너 증후군이 의심된다면, 꼭 가까운 대학 병원에서 유전자 검사를 포함한 진료를 하시기 바랍니다.
수지 지음 통증의학과 원장 이상준