
자가증상이 없는 녹내장, 정밀검사에 의한 조기발견이 정답입니다!

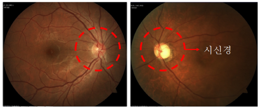
누네안과병원_일반인의 안저 사진(왼쪽)과 녹내장 환자의 안저 사진(오른쪽)
녹내장은 시신경의 병증으로 시야의 손상이나 시력이 떨어지는 질환을 말합니다. 황반변성, 당뇨병성 망막병증과 함께 성인 3대 실명질환입니다. 녹내장의 원인은 시신경과 신경섬유층의 손상에 있습니다. 빛을 뇌로 전달하는 시신경에 이상이 있으면 시야 결손이 생기고, 방치하여 악화되면 보이지 않게 됩니다.

누네안과 병원 녹내장 센터

누네안과병원 녹내장센터 _ 녹내장 진행과정
시신경과 신경섬유층의 손상은 안압상승을 비롯해 고도근시, 원시, 가족력 등의 영향을 받는다. 특히 높은 안압은 발병의 주된 원인입니다. 진행성 신경질환인 녹내장은 완치되지 않습니다. 조기에 발견해 상태가 악화되지 않도록 관리하는 것이 최고의 치료입니다.
그러나 완치 불가능의 위험성을 아는 사람은 거의 없습니다. 급성으로 진행되지 않으면 서서히 나빠지기 때문에 체감도 쉽지 않습니다. 녹내장 환자의 상당수도 질환을 크게 의식하지 않은 채 만성 악화되는 경우가 많습니다.

누네안과병원_건강보험공단 심사평가원 빅데이터녹내장(H400) 환자수
이러한 건강불감증과 고령화가 질병을 확산시키는 요인이 됩니다. 실제로, 인구의 고령화와 함께 녹내장 환자는 착실하게 증가하고 있습니다. 건강보험공단 심사평가원 자료에 따르면, 녹내장 환자는 2016년 80만9231명에서 2019년 97만4941명으로 4년간 20.47% 증가하였습니다.

누네안과병원 녹내장센터_안약점안
녹내장 치료의 첫 단계는 안압하강입니다. 안압을 적정하게 유지함으로써 시신경의 손상 가능성이 줄어들고 손상 신경도 지연시킬 수 있습니다. 안압을 낮추고 녹내장의 진행을 더디게 하는 것입니다. 또한 눈 속의 혈액 순환을 원활하게 하여 시신경을 보호하는 방법도 병행합니다. 더 적극적인 치료로는 레이저 시술이나 수술이 있습니다.
그런데 우리나라 녹내장 환자의 80 % 정도는 안압에 이상이 없습니다. 유럽이나 미국에 비해 높은 비율입니다. 이 경우가 ‘정상 안압 녹내장’입니다. 안압이 정상범위 수치(10~21)임에도 불구하고 시신경 손상이 발생합니다.

누네안과병원 녹내장센터_개별화 치료가 중요한 이유
정상 안압 녹내장은 고도의 근시, 전신 질환의 관점에서 볼 수 있습니다. 일단 약한 시신경입니다. 시신경이 천성적으로 약한 사람이 있어요. 고도의 근시의 경우 안압은 정상이지만 시신경이 약한 경우가 있습니다. 또한 고혈압이나 당뇨병과 같은 전신 질환이 있으면 혈류에 문제가 생길 수 있습니다. 만약 눈의 혈류에 장애가 발생하게 되면 시신경이 약해질 수 있습니다.

누내안과병원 망막센터 권오웅 병원장
정상 안압 녹내장처럼 소리 없이 진행되는 안질환을 발견하기 위해서는 정기적인 안과 검진이 필요합니다. 특히 40대 이후의 고도 근시, 약한 시신경, 망막질환, 당뇨, 고혈압 등이 있는 경우에는 정기적으로 녹내장 검사를 받아야 합니다.
녹내장은 침묵의 질환입니다. 정상안압녹내장은 발견이 더 어렵습니다. 녹내장은 늦게 발견하면 치료효과가 많이 떨어져요. 증상이 없더라도 녹내장 가족력이 있거나 40대 이후의 중장년은 1년에 1~2회는 안압, 시야, 전안부, 시신경, 망막신경 섬유층 검사 등의 종합안구 검사를 받는 것이 좋습니다.

클릭 시 홈페이지 진료 스케줄 이동
권오웅 병원장은 연세대 의대 명예교수로 세계황반학회 국제위원회 위원장을 맡고 있다. 미국망막학회, 미국황반학회, 유럽망막학회 정회원으로 대한안과학회장과 한국망막학회장을 지냈다. 연세대 의료원 이비인후과 병원장 출신으로 누나안과병원 병원장이다.
카톡 @누네안과병원 대표번호 1661-1175 대구번호 053-715-3300
▼서울 누네안병원 ▼ 서울특별시 강남구 테헤란로 408 대치빌딩
▼대구 누내안병원 ▼대구광역시 중구 달구벌대로 2179


