[일상] 편도농양병상인지_쓰지 말자

‘편도농양’ 급성 편도염으로 더 심해지면 편도에 농양이 쌓인다고 한다.확실히 조금 나아진 것 같은데.

새벽에 자고 또 숨 안 들이마시고 침 삼키기 힘들어서 자고 일어나서 반복.

아침에 눈을 뜨면 목이 심하게 아프거나 입도 못 벌릴 정도고 울면서 엄마에게 전화해서 말을 못하고 울기만 하고,

엄마 깜짝 놀라서 빨리 병원에 가라고 해서 나도 이번에는 정말 심각해서 대학병원에 전화했는데 당일 예약은 못하고 일단 서울대병원은 10월에 예약해놓고 한양대병원은 토요일이 된다고 해서 예약해놓고 출근했어.

아무 말도 못하고 그냥 있는데 숨을 쉴 수가 없어서 나는 진차로… 안…인 줄 알았어. 눈물(´;ω; ))

한양대병원 진료를 받으려면 신속항원해야 한다고 해서 일하고 병원 앞에 있는 이비인후과에 갔다.

의뢰서 받으러 간 게 아닌데 농양이 있으니까 여기서 찢자고 한… 네?

점심식사 끝나고 바로 예약이 있어서 조치하지 못하고 가야 한다고 해서 의뢰서도 주셨다.

농양 얘기를 듣고 찾아봤어.왜 리뷰가 다 아파서 죽을 것 같다는 얘기.눈물 흘리기 전부터 공포에 차 있었다.

이건 정말 보면서 내 편도선이 아픈 기분이었어.

<토요일 아침 한양대학교 진료>

혹시 입원할까봐 입원준비를 하고 갔는데 내시경을 하자마자 입원해서 찢자고 하는데

근데 신속항원은 하루만 유효하고 최대한 늦게 하라고 해서 전날 3시에 해왔는데 시간 안나온거 다시 하자. 하

10시 진료하고 1시 입원 가능하며 그 안에 병원 안에 있는 신속항원검사를 하고 수건을 안가져와서 집에 가서 좀 쉬었다가 다시 왔다.

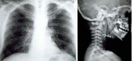
사진 찍어서 어딘가 찌그러져 보이는데 신기하게도 농양 때는 열이 나지 않았어!

입원하자마자… 주사…시티를 찍을 때 조형제가 들어가지 않아 큰 바늘을 꽂았지만 잘 참고 혈관이 생기지 않아 파는 바람에 닭똥을 눈에서 감쌌다.

아, 사먹으러 가는 길.

파리바게이터파앙..

마트에서 파는 빵~ 마트에서 빵~

목에 매달려 걷다.

산췌장

큰옷을 달라고는 썼는데..원피스를 달라고는 안했는데..

탕비실 뷰 좋아요?

안 아플 것 같은데?큰 병원의 항생제는 최고예요?

비라마글루 영양제… 밥도 먹는데 왜 맞는지 모르겠는데 끈적끈적해서 혈관에 들어갈 때 너무 아파ㅠ

친구 아닌가 싶어 같은 날 나는 한양대병원 규환이는 고려대병원에 입원(입원).

결국 너무 아파서 또 맞기로 하고 뽑은 사이 샤워도 하고 애스크림 과자를 먹으러 도망갔다.

올라와서 또 맞고 아파서 못본 드라마 다보기ㅋㅋㅋㅋㅋㅋㅋㅋㅋㅋㅋㅋㅋㅋㅋㅋㅋㅋㅋㅋ

새벽에 주사 부위를 또 붓고 아파서 뽑았는데 아침에 다시 잡는데 혈관이 터져서 안 보여서 3번 만에 성공.

진짜 주사가 무서운데 안 보이는 거 잡느라 고생하시는데…세 번 꾹 참았어

진짜 수액 빼줘야 하는데 끝나면 또 새 거 안 묻히라고 하는데 무조건 때려야 된대.

누가 나에게 설거지를 시켰느냐

편의점에서 아무거나 잡은 게 아이들 칫솔인지 몰랐고 이빨 하나하나 닦을 수 있어.

하늘이 너무 예뻐(눈물)

미영이가 은동 끝나고 병문안 왔다 가는 ン

혈관읍서의 조인트에 놓았기 때문에 팔을 사용할 수 없다.

미영이랑 앉아서 얘기하는데…너무 아파서 얼마 지나지 않아 올라온 눈물

멍들고 신음소리!! 말랐는데도 2시간은 혈관통이 낫는다.

구황 가로되 영양사분들이 네 것을 보니 기분이 좋구나.ㅋㅋㅋㅋㅋㅋㅋㅋㅋㅋㅋㅋㅋㅋㅋㅋㅋㅋㅋㅋㅋㅋㅋㅋ

정말 퇴원날까지..꼭 맞고 가야 된대.

네. 병원비를 벌고 있었어요.

항생제 진짜 계속 맞고 농양이 있는데 가라앉아서 빼달라고 안 해도 된다고 했어.후, 다행이다~~~

의사는 좀 더 만나자고 했지만 일개미는 일해야 하니까 최대한 빨리 퇴원시켜 달라고 했어!

error: Content is protected !!