녹내장에서 약물치료 중 추가적인 안압하강이 필요하거나 약물치료를 할 수 없는 경우 또는 급성폐쇄각 녹내장 환자에게 레이저치료가 유용하게 사용된다.목차 접기 레이저 홍채절개술 레이저 주변의 홍채성형술 레이저 섬유주성형술 섬모체 광응고술 일반적으로 녹내장에서 레이저 치료는 약물 치료 중에 추가적인 안압 하강이 필요하거나 약물 치료를 할 수 없는 경우 급성 폐쇄각 녹내장 환자에게 유용하게 사용된다.레이저 치료 자체에 걸리는 시간은 5~10분 정도이지만 치료 전 안약을 넣는 시간과 치료 후 1시간 정도 안압을 확인해야 하기 때문에 총 2~3시간 정도 병원에 있어야 한다. 레이저는 눈에 특수한 렌즈를 쏘이기 때문에 치료 전에 점안 마취제를 눈에 넣어야 하기 때문에 치료 시 통증은 거의 느껴지지 않는다.

녹내장 레이저 치료… 사진… 눈에 특수 렌즈 대고 레이저 치료 받는다서울대학교출판문화원 | 저작권자의 허가 없이는 사용할 수 없습니다.레이저홍채절개술 급성 폐쇄각 녹내장에서 레이저 치료가 가장 유용하게 쓰인다. 레이저홍채절개술은 홍채의 주변부에 레이저로 아주 작은 구멍을 만들어 홍채 뒤쪽의 압력을 낮추어 섬유 하단을 막았던 홍채를 뒤로 돌려놓음으로써 안압을 낮춤으로써, 안압을 낮추는 방법이다.

레이저 홍채절개술 모식도 | 서울대출판문화원 | 저작권자 허가 없이 사용 불가합니다.

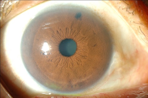
레이저홍채절개후사진☜서울대학교출판문화원|저작권자의허가없이사용가능합니다.레이저 홍채절개술은 동공 차단이 원인이 되는 모든 폐쇄 각 녹내장에서 1차 시술 방법으로 안전하고 효율적으로 사용되며, 레이저 홍채절개술만을 실시할 수도 있으며, 필요에 따라 레이저 주변의 홍채 성형술과 병행할 수도 있다. 그러나 각막 부종이 너무 심하거나 주변부의 홍채가 각막과 거의 붙어 있거나 산동해 주변부의 홍채가 너무 두꺼워질 경우 레이저 홍채 절개술이 어려워 수술 치료를 고려할 수도 있다. 레이저 홍채절개술에 사용되는 레이저는 알곤 레이저 또는 엔디야그(Nd:YAG) 레이저로 이 두 레이저를 모두 이용할 수도 있다.레이저 홍채 절개술은 외래에서 비교적 쉽게 시술할 수 있어 안압 하강 효과가 뚜렷하다. 부작용으로 전방 염증, 황반 손상, 전방 출혈, 수술 후 일시적인 안압 상승 등이 있으나 매우 드물다. 급성 폐쇄각 녹내장 발작을 일으킨 눈의 반대쪽 눈의 경우도 50%에서 5년 안에 급성 발작이 발생할 수 있으므로 예방 차원의 레이저 홍채절개술을 실시한다.또 폐쇄각 녹내장의 경우, 증상이 없더라도 폐쇄각 녹내장의 가족력이 있거나 정기적인 안과 검진이 어려운 경우, 폐쇄각 녹내장을 유발할 수 있는 약물을 복용해야 하는 경우, 유발검사로 안압이 기준 이상으로 상승하는 경우 등에도 예방 차원에서 레이저 홍채절개술을 실시할 수 있다.레이저 주변 홍채 성형술=레이저 주변 홍채 성형술은 전방 모서리에 접촉성 폐쇄를 보일 경우 아르곤 레이저를 주변 홍채에 360도에 걸쳐 쏴 홍채 조직을 수축시켜 통통한 홍채를 평평하게 만드는 방법이다. 반면 레이저 홍채절개술을 바로 시행하기 어려울 경우 레이저 주변 홍채성형술을 먼저 할 수 있고 병용할 수도 있다.

레이저 주변 홍채성형술 모식도 ☜ 서울대학교출판문화원 | 저작권자의 허가 없이 사용이 불가합니다.

레이저 주변 홍채성형 수술 후 사진 ☜ 서울대학교출판문화원 | 저작권자의 허가 없이 사용이 불가합니다.레이저 섬유주 성형술 레이저 섬유주 성형술은 일반적으로 약물치료에도 불구하고 안압을 더 낮춰야 하는 개방각 녹내장 환자에게 2차 치료방법으로 사용되지만 약물치료 효과 외에 25% 정도까지 추가로 안압을 낮출 수 있다. 이 밖에 임신을 계획하거나 임신 중 녹내장 안약을 사용하기 어려운 경우에도 선택적으로 시험받는다.대표적인 것은 알곤 레이저 섬유주 성형술(ALT)인데 이 시술은 방수가 통과하는 섬유주에 레이저를 조사하는 방법으로 섬유주를 광응고시켜 섬유주 사이의 공간을 넓힌다. 또한 세포외 기질변화 및 섬유주내피세포의 작용을 증가시켜 방수가 원활하게 유출되도록 한다.

ALT와 SLT의 레이저 조사부위 왼쪽 화살표 : ALT, 오른쪽 화살표 : SLT头 서울대학교 출판문화원 | 저작권자의 허가 없이 사용할 수 없습니다.최근에는 색소섬유 주상피만을 선택적으로 변화시키는 선택적 레이저 섬유 주상형술(SLT)도 사용되고 있다. SLT는 ALT에 비해 조직의 손상이 적고, 반복 치료할 수 있는 장점이 있다. 그러나 SLT는 ALT에 비해 성공률이 높은 것은 아니며 ALT와 SLT 모두 수술 전 단계의 치료방법으로 수술을 대체하는 방법은 아니다.▲섬모체광 응고술=섬모체광 응고술은 앞서 소개한 레이저 치료와 달리 상당히 높은 에너지의 레이저를 이용해 섬모체를 파괴시켜 방수 생산을 줄이는 방법이다.그러나 이 시술은 방수 생산을 얼마나 억제하고 안압을 어느 정도 낮출 수 있는지 예측하기 어렵기 때문에 대부분의 경우 다른 치료 방법보다 나중에 사용된다. 시력 호전을 기대하기 어렵거나 약물과 수술로 안압이 조절되지 않아 통증이 심한 난치성 녹내장 환자에게 주로 쓰인다. 방수생산의 과도한 억제로 인해 안구가 위축되는 부작용이 다른 치료보다 많이 발생한다.