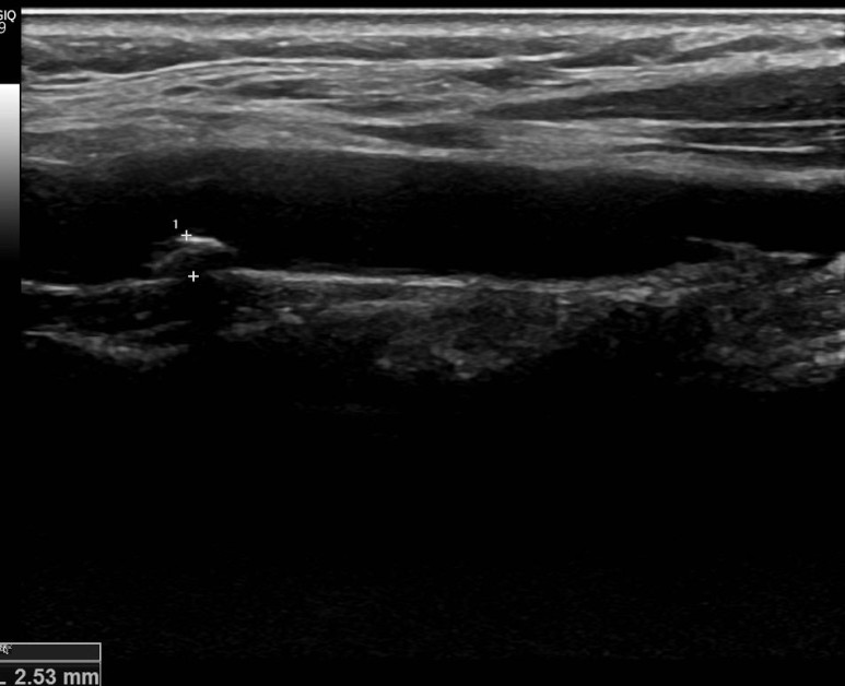
어떤 동맥경화반[동탄혈관내 과] 뇌졸중의 원인이 될 수 있다

경동맥 초음파로 확인되는 동맥 경화반

뇌졸중의 원인이 될 수 있기 때문에 엄격한 고지혈증 관리가 필요합니다.

안녕하세요 동탄내과 연세본내과입니다 긴 연휴 어떻게 보내셨는지 궁금해요 날씨가 너무 좋아서… m.blog.naver.com

#동탄내과 #동탄순환기내과 #2동탄심장내과 #동탄고혈압 #동탄고지혈증 #동탄당뇨 #동탄혈관내과

error: Content is protected !!